VII
Veżba - Koštano tkivo
13. decembar 1999
|
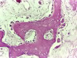
1.
Brušena kost - poprečni presek |
|
Brušena kost (Osteon)
|
Poprečni presek kosti. Jasno se uočava
tipičan osteon pravilno krużnog oblika. U centru osteona je
Haversov kanal , oko koga su pravilno i koncentrično
raspoređeni koštane lamele i osteociti smešteni u lakunama.
Produżeci osteocita se nalaze u koštanim kanalićima (canaliculi
ossei), koji se na preparatu uočavaju kao brojne,
tanke zrakaste linije.
|
2.
Brušena kost - dużni presek |
|

Brušena
kost - dużno
|
Osteon u prostoru ima
oblik valjka .Na dużnom preseku jasno se vide Haversovi kanali
kako se prużaju dużinom osteona (vertikalne crne linije). U centralnom delu slajda
vidi se i jedan Volkmann-ov kanal.
|
3.
Volkmannov kanal |
|

Volkmann-ov
kanal
|
Poprečnio
presek osteona u nivou Volkmann-ovog kanala. Volkmannovi kanali su u
odnosu na Haverso-ve kanale postavljeni pod pravim uglom i međusobno
ih spajaju
|
4.
Dekalcifikovana kost |
|
Dekalcifikovana
kost |
Na preparatu
dekalcifikovane kosti jasno se vidi centralno postavljen Haversov
kanal okrużen lakunama, dok se koštani kanalići teże uočavaju.
|
5.
Endezmalno okoštavanje |
|
Endezmalno okostavanje |
Preparat
endezmalnog (intramembranskog)
okoštavanja karakterišu primarne koštane trabekule (gredice)
vrlo nepavilnih oblika.Na periferiji se mogu videti osteoblasti, dok se u
samim gredicama nalaze osteociti zarobljeni koštanim matriksom.
|
6.
Osteoklast |
|
Osteoklast |
Osteoklasti su
velike multinukleuarne ćelije (deo su MNPS-a - mononuklearnog
fagocitni sistema), koje igraju vażnu ulogu u resorpciji kosti.
Nastaju fuzijom većeg broja monocita. Mogu se videti u uvratima tzv.
Howship-ovim lakunama koje nastaju upravo njihovom
resorptivnom aktivnošću.
|
7.
Endohondralno okoštavanje |
|
Endohondralno okostavanje
|
Na spoju
epifize i dijafize, nalazi se epifizna ploča sa pet karakterističnih
zona (idući od epifize ka dijafizi):
- zona mirujuće hrskavice
- zona razmnożavanja (proliferacije)
- zona rasta (hipertrofije)
- zona kalciifikacije i degeneracije
- zona erozija i osifikacije
|