Institut
za histologiju i embriologiju
"Aleksandar Đ. Kostić"
|
IV Veżba - Slojeviti i prelazni epiteli. Žlezdani epitel
|
1.
Pločasto slojeviti
epitel
bez orožavanja |
|
Pločasto
slojeviti epitel bez orožavanja
|
Pločasto slojeviti
epitel bez orožavanja karakteriše veći broj redova ćelija - od samo
5-6 kod prednjeg epitela rožnjače, pa do 25-30 redova kod jednjaka.
Najpovršniji sloj (stratum super-ficiale je izgrađen od nekoliko
redova spljoštenih, pločastih ćelija sa centralno postavljenim nukleusom).
Prva dva sloja ovog epitele su stratum basale i stratum
spinosum. Ostale lokalizacije: usna duplja, anus. glans penisa,
prepucijum, vagina.
|
2.
Pločasto slojeviti
epitel sa orožavanjem |
|

Pločasto
slojeviti epitel sa orožavanjem
|
Pločasto slojeviti
epitel sa orožavanjem sa druge strane ima samo jednu lokalizaciju.
Može se sresti isključivo kod kože tj. njenog najpovršniijeg sloja
epidermisa. Glavna karakteristika ovog epitela je najpovršniji
orožali sloj stratum corneum izgrađeni od manjeg ili većeg
broja redova pločastih, bez-jedarnih ćelija koje su ispunjene
keratinskim filamentima. Debljina ovog epitele nije ista nas svim
mestima, tako da broj slojeva varira. Najdeblji je na dlanovima
i tabanima ( i do 70 redova ćelija). Na tim mestima se između trećeg
sloja (str. granulosum) i površnog orožalog može videti stratum
lucidum. Prva dva sloja su ista kao kod pločasto slojevitog
epitela bez orožavanja.
|
3.
Prelazni epitel |
|

Prelazni
epitel
|
S obzirom na karakterističnu
lokalizaciju (pokriva jedan deo urinarnog trakta -od male i velike
čašice, bubrežna karlica, ureter, mokračna bešika i početni deo
uretre), prelazni epitel se još zove uroepitel. Grade ga
tri tipa ćelija: bazalne, reketaste i Dogeljove ćelije. Slično pseudoslojevitom
i ovaj epitel odaje utisak lažne slojevitosti - sve ćelije polaze
od bazalne membrane (reketaste i Dogeljove čelije, ustvari imaju
tanke citpolazmatske produžetke pomoću kojih su povezane sa bazalnom
membranom). Glavna osobina uroepitela je njegova sposobnost promene
debljine, zavisno od funkcionalnog stanja organa. Kada je, recimo
mokraćna bešika, ispunjenja urinom epitel je tanji (svega 2-3 pseudo-reda).
U relaksiranom stanju epitel je deblji (5-7 pseudoredova)
|
4.
Žlezdani epitel |
|
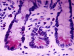
Žlezdani
epitel (Panetova ćelija) |
Panetovu ćelije predstavljaju
žlezdane ćelije koje su između ostalog karakteristične i po svojoj
tipičnoj lokazlizacacji. Naime, one su uvek smeštene na dnu tzv.
Liberkinovih kripti tankog creva. U bazalnom delu ove ćelije imaju
bazofilnu citoplazmu dok su u apikalnom (supranukleranom) regionu
smeštene krupne acidofilne, sekretorne ganule koje sadrže enzim
lizozim, protein bogat argininom, i druge glikoproteine.
Anitbakterijsko svojstvo lizozima kao i sposobnost fagocitoze nekih
bakerija i protozoa, sugeriše ulogu Pnatovih čelija u održazvanju
normalne bakterijske flore tankog creva.
|
|